Полезная информация

Эта страшная инструкция Многие из нас, покупая в аптеке то или иное лекарство, мы интересуемся об и...

Самое лучшее решение при любом виде зубной боли – скорее обратиться к стоматологу. Только врач может...

Многие думают, что если на зуб установлена коронка, то она больше не подвержена стоматологическим за...

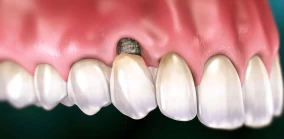
Имплантация – наиболее эффективная технология восстановления утраченных зубов на искусственных корня...

Абсцесс зуба - заболевание, сопровождающееся острыми гнойными воспалениями. По сути это реакция з...

По статистике ВОЗ, около 85% населения планеты страдают от легкой степени пародонтита, а агрессив...

Аллергический стоматит значительно снижает качество жизни взрослых и маленьких пациентов, ведь даже...

Афтозный стоматит у детей — распространенное явление, поскольку в возрасте до 5–7 лет естественные з...

Бруксизм у детей — непроизвольное скрежетание зубами во время ночного сна, обусловленное спазмом жев...

Бутылочный кариес — заболевание у детей раннего возраста (от 1 года до 3 лет), возникающее в результ...

Аномалии развития зубов — частое явление, но среди всех дефектов макродентия занимает не первое мест...

Ни для кого не секрет, что большинство людей избегают визитов к стоматологу, только лишь из-за возмо...

Первые зубы у человека начинают прорезываться до года, когда молоко еще служит основной пищей. Именн...

Ортодонтия: что это за наука У некоторых людей имеются дефекты развития зубного ряда и челюстно-лиц...

Некоторые стоматологические заболевания никак себя не проявляют на ранних стадиях, а обнаруживают...

Имплантация зубов – серьезная хирургическая операция, травмирующая мягкие ткани. Да, в современной с...

Боязнь стоматологов один из самых распространенных страхов в мире. Существует даже отдельное названи...

Зубной камень – это известковые отложения, имеющие темно-коричневый оттенок и располагающиеся, как п...

В период беременности услуги стоматологов могут быть даже более востребованы, чем обычно. Дело в том...

Многие люди по ряду причин боятся посещать кабинет стоматолога. Они доводят проблемы до такой степен...

Зубная нить – это один из основных инструментов для поддержания гигиены ротовой полости. И, хотя она...

Некоторые люди с недоверием относятся к процедуре восстановления белизны зубов, считая, что она може...

Подготовка к имплантации зубов – комплекс мероприятий, способствующих подготовке к операции и врача,...

Восстановление зубов на имплантатах – самый востребованный сегодня вариант протезирования. Несмотря...

Утрата зубов давно перестала быть проблемой – современная стоматология предлагает большой выбор мето...

Имплантаты и мосты применяются для восстановления жевательной функции зубного ряда и устранения визу...

Тщательная гигиена полости рта важна в любом возрасте. Особенно это касается пациентов, прошедших им...

Коронка — ортопедическая конструкция, которая покрывает всю видимую часть зуба. Она предназначена дл...

Стоит понимать, что дефектный прикус может повлечь за собой ряд проблем не только в личной жизни и к...

В любой области медицины диагностика имеет решающее значение для назначения лечения. Правильно диагн...
Проконсультируем вас по условиям и стоимости лечения, подберём врача и запишем вас на приём.Консультация займёт всего 20–40 минут
Отзывы о стоматологии и репутация





